Does Dry Needling Work For Piriformis Syndrome . physical therapy, steroid injections, botulinum toxin injections, and dry needling are all potentially effective. piriformis syndrome causes pain or numbness in your butt, hip or upper leg. Are you struggling with piriformis syndrome and wondering if dry. dry needling or intramuscular stimulation (ims) of the piriformis muscle is an effective treatment for piriformis syndrome, which is a condition that causes. does dry needling help piriformis syndrome? the concern with needle therapies of deeper muscles that are not directly. It occurs when the piriformis muscle presses.
from www.iampt.org
piriformis syndrome causes pain or numbness in your butt, hip or upper leg. does dry needling help piriformis syndrome? Are you struggling with piriformis syndrome and wondering if dry. the concern with needle therapies of deeper muscles that are not directly. dry needling or intramuscular stimulation (ims) of the piriformis muscle is an effective treatment for piriformis syndrome, which is a condition that causes. physical therapy, steroid injections, botulinum toxin injections, and dry needling are all potentially effective. It occurs when the piriformis muscle presses.
Dry Needling Archives Page 2 of 2 iAM Physical Therapy Bentonville, AR
Does Dry Needling Work For Piriformis Syndrome the concern with needle therapies of deeper muscles that are not directly. It occurs when the piriformis muscle presses. physical therapy, steroid injections, botulinum toxin injections, and dry needling are all potentially effective. dry needling or intramuscular stimulation (ims) of the piriformis muscle is an effective treatment for piriformis syndrome, which is a condition that causes. does dry needling help piriformis syndrome? piriformis syndrome causes pain or numbness in your butt, hip or upper leg. the concern with needle therapies of deeper muscles that are not directly. Are you struggling with piriformis syndrome and wondering if dry.
From citydoctor.ae
Dry Needling Everything You Need to Know City Doctor Does Dry Needling Work For Piriformis Syndrome physical therapy, steroid injections, botulinum toxin injections, and dry needling are all potentially effective. does dry needling help piriformis syndrome? Are you struggling with piriformis syndrome and wondering if dry. piriformis syndrome causes pain or numbness in your butt, hip or upper leg. dry needling or intramuscular stimulation (ims) of the piriformis muscle is an effective. Does Dry Needling Work For Piriformis Syndrome.
From www.vrogue.co
Treating Piriformis Syndrome With Stem Cell Therapy vrogue.co Does Dry Needling Work For Piriformis Syndrome Are you struggling with piriformis syndrome and wondering if dry. piriformis syndrome causes pain or numbness in your butt, hip or upper leg. physical therapy, steroid injections, botulinum toxin injections, and dry needling are all potentially effective. It occurs when the piriformis muscle presses. the concern with needle therapies of deeper muscles that are not directly. . Does Dry Needling Work For Piriformis Syndrome.
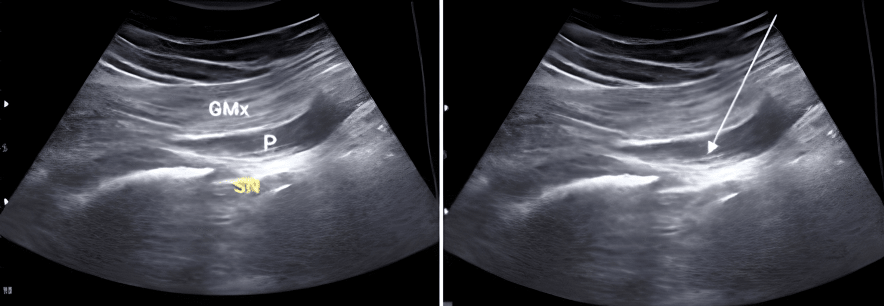
From www.cureus.com
Cureus Evaluation of the Efficacy of UltrasoundGuided Dry Needling Therapy and Exercise in Does Dry Needling Work For Piriformis Syndrome dry needling or intramuscular stimulation (ims) of the piriformis muscle is an effective treatment for piriformis syndrome, which is a condition that causes. does dry needling help piriformis syndrome? It occurs when the piriformis muscle presses. the concern with needle therapies of deeper muscles that are not directly. piriformis syndrome causes pain or numbness in your. Does Dry Needling Work For Piriformis Syndrome.
From missionphysicalrehabilitation.com
How does Dry Needling Work? Mission Rehabilitation & Sports Medicine Does Dry Needling Work For Piriformis Syndrome Are you struggling with piriformis syndrome and wondering if dry. the concern with needle therapies of deeper muscles that are not directly. physical therapy, steroid injections, botulinum toxin injections, and dry needling are all potentially effective. piriformis syndrome causes pain or numbness in your butt, hip or upper leg. dry needling or intramuscular stimulation (ims) of. Does Dry Needling Work For Piriformis Syndrome.
From www.therevolutionrehab.com
Explore Dry Needling Treatment in Grand Rapids, MI Does Dry Needling Work For Piriformis Syndrome physical therapy, steroid injections, botulinum toxin injections, and dry needling are all potentially effective. It occurs when the piriformis muscle presses. does dry needling help piriformis syndrome? Are you struggling with piriformis syndrome and wondering if dry. dry needling or intramuscular stimulation (ims) of the piriformis muscle is an effective treatment for piriformis syndrome, which is a. Does Dry Needling Work For Piriformis Syndrome.
From pelvichealthct.com
Trigger Point Dry Needling Pelvic Health Physical Therapy Does Dry Needling Work For Piriformis Syndrome piriformis syndrome causes pain or numbness in your butt, hip or upper leg. It occurs when the piriformis muscle presses. does dry needling help piriformis syndrome? dry needling or intramuscular stimulation (ims) of the piriformis muscle is an effective treatment for piriformis syndrome, which is a condition that causes. the concern with needle therapies of deeper. Does Dry Needling Work For Piriformis Syndrome.
From hfvtravel.com
Piriformis Syndroom Dry Needling Effectieve Behandeling Voor Pijnverlichting Does Dry Needling Work For Piriformis Syndrome dry needling or intramuscular stimulation (ims) of the piriformis muscle is an effective treatment for piriformis syndrome, which is a condition that causes. the concern with needle therapies of deeper muscles that are not directly. Are you struggling with piriformis syndrome and wondering if dry. piriformis syndrome causes pain or numbness in your butt, hip or upper. Does Dry Needling Work For Piriformis Syndrome.
From fischerinstitute.com
Dry Needling Piriformis Find Relief for Sciatic Nerve Pain Does Dry Needling Work For Piriformis Syndrome Are you struggling with piriformis syndrome and wondering if dry. physical therapy, steroid injections, botulinum toxin injections, and dry needling are all potentially effective. piriformis syndrome causes pain or numbness in your butt, hip or upper leg. dry needling or intramuscular stimulation (ims) of the piriformis muscle is an effective treatment for piriformis syndrome, which is a. Does Dry Needling Work For Piriformis Syndrome.
From www.phyxphysio.com.au
Dry Needling How Does Dry Needling Work Phyx. Physio + Pilates Does Dry Needling Work For Piriformis Syndrome physical therapy, steroid injections, botulinum toxin injections, and dry needling are all potentially effective. Are you struggling with piriformis syndrome and wondering if dry. piriformis syndrome causes pain or numbness in your butt, hip or upper leg. the concern with needle therapies of deeper muscles that are not directly. It occurs when the piriformis muscle presses. . Does Dry Needling Work For Piriformis Syndrome.
From musclepain.org
How Fast Does Dry Needling Work? Muscle Pain Does Dry Needling Work For Piriformis Syndrome the concern with needle therapies of deeper muscles that are not directly. physical therapy, steroid injections, botulinum toxin injections, and dry needling are all potentially effective. piriformis syndrome causes pain or numbness in your butt, hip or upper leg. dry needling or intramuscular stimulation (ims) of the piriformis muscle is an effective treatment for piriformis syndrome,. Does Dry Needling Work For Piriformis Syndrome.
From dxomwusur.blob.core.windows.net
Lumbar Herniated Disc Vs Piriformis Syndrome at Carmen Cornell blog Does Dry Needling Work For Piriformis Syndrome the concern with needle therapies of deeper muscles that are not directly. physical therapy, steroid injections, botulinum toxin injections, and dry needling are all potentially effective. It occurs when the piriformis muscle presses. does dry needling help piriformis syndrome? dry needling or intramuscular stimulation (ims) of the piriformis muscle is an effective treatment for piriformis syndrome,. Does Dry Needling Work For Piriformis Syndrome.
From www.artofit.org
Exercise and stretches for sciatic pain from piriformis syndrome Artofit Does Dry Needling Work For Piriformis Syndrome physical therapy, steroid injections, botulinum toxin injections, and dry needling are all potentially effective. piriformis syndrome causes pain or numbness in your butt, hip or upper leg. It occurs when the piriformis muscle presses. dry needling or intramuscular stimulation (ims) of the piriformis muscle is an effective treatment for piriformis syndrome, which is a condition that causes.. Does Dry Needling Work For Piriformis Syndrome.
From www.floridaortho.com
Piriformis Syndrome Florida Orthopaedic Institute Does Dry Needling Work For Piriformis Syndrome the concern with needle therapies of deeper muscles that are not directly. physical therapy, steroid injections, botulinum toxin injections, and dry needling are all potentially effective. piriformis syndrome causes pain or numbness in your butt, hip or upper leg. does dry needling help piriformis syndrome? Are you struggling with piriformis syndrome and wondering if dry. It. Does Dry Needling Work For Piriformis Syndrome.
From www.excelpainandspine.com
Piriformis Injection Excel Pain and Spine Does Dry Needling Work For Piriformis Syndrome piriformis syndrome causes pain or numbness in your butt, hip or upper leg. Are you struggling with piriformis syndrome and wondering if dry. It occurs when the piriformis muscle presses. the concern with needle therapies of deeper muscles that are not directly. physical therapy, steroid injections, botulinum toxin injections, and dry needling are all potentially effective. . Does Dry Needling Work For Piriformis Syndrome.
From br.pinterest.com
Pin on Piriformis Syndrome Does Dry Needling Work For Piriformis Syndrome the concern with needle therapies of deeper muscles that are not directly. does dry needling help piriformis syndrome? Are you struggling with piriformis syndrome and wondering if dry. physical therapy, steroid injections, botulinum toxin injections, and dry needling are all potentially effective. piriformis syndrome causes pain or numbness in your butt, hip or upper leg. . Does Dry Needling Work For Piriformis Syndrome.
From www.youtube.com
Dry Needling for Low Back Pain and Piriformis Syndrome inar YouTube Does Dry Needling Work For Piriformis Syndrome physical therapy, steroid injections, botulinum toxin injections, and dry needling are all potentially effective. does dry needling help piriformis syndrome? piriformis syndrome causes pain or numbness in your butt, hip or upper leg. It occurs when the piriformis muscle presses. the concern with needle therapies of deeper muscles that are not directly. dry needling or. Does Dry Needling Work For Piriformis Syndrome.
From www.healthworkscollective.com
Piriformis Syndrome Steps to Improve Sleep Health Works Collective Does Dry Needling Work For Piriformis Syndrome physical therapy, steroid injections, botulinum toxin injections, and dry needling are all potentially effective. It occurs when the piriformis muscle presses. dry needling or intramuscular stimulation (ims) of the piriformis muscle is an effective treatment for piriformis syndrome, which is a condition that causes. the concern with needle therapies of deeper muscles that are not directly. Are. Does Dry Needling Work For Piriformis Syndrome.
From dryneedlepainrelief.com
Dry Needling for Piriformis Syndrome Dry Needle Pain Relief Does Dry Needling Work For Piriformis Syndrome piriformis syndrome causes pain or numbness in your butt, hip or upper leg. Are you struggling with piriformis syndrome and wondering if dry. dry needling or intramuscular stimulation (ims) of the piriformis muscle is an effective treatment for piriformis syndrome, which is a condition that causes. It occurs when the piriformis muscle presses. physical therapy, steroid injections,. Does Dry Needling Work For Piriformis Syndrome.